La dysplasie, qu’elle soit du coude comme de la hanche, est en partie héréditaire. Il est en effet désormais démontré que des facteurs externes (alimentation, exercices, etc.) peuvent jouer un rôle dans l’apparition ou l’aggravation de ces pathologies.
Il est important lors de l’acquisition d’un chiot de demander la radiographie des géniteurs (père et mère du chiot) afin de s’assurer que les parents sont indemnes.
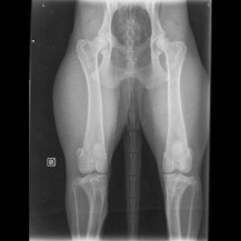
A noter que concernant la dysplasie de la hanche, il existe 5 stades (degrés) :
stade A : in demne de dysplasie ; stade B : état sensiblement normal ; stade C : dysplasie légère ; stade D : dysplasie moyenne ; stade E : dysplasie grave.

Pour la dysplasie du coude : Grade 0 = Coude normal, chien indemne. Grade SL = Stade limite,coude avec très légers défauts. Grade 01 = Arthrose légère Grade 02 = Arthrose et altération modérée du tissus osseux Grade 03 = Arthrose et altération sévère du tissus osseux.
Tous nos reproducteurs ont leurs radios de dépistages des dysplasies hanches et coudes faites. Les résultats son visibles sur leur fiches sur le site de la société centrale canine ainsi que dans les albums photos .

stade A : in demne de dysplasie ;